マウスピース矯正について
透明で目立たないマウスピースを使った矯正治療法です。取り外しができるので飲食や
ブラッシングに支障がありません。
一定期間ごとにマウスピースを取り替えて歯を動かしていきます。
マウスピース矯正の仕組み
マウスピースを使用した矯正治療の方法です。
マウスピース矯正はスキャナーで歯型などの情報を採取し、そのデータをもとに分析をおこない、最終的な状態を予測し、カスタムメイドのマウスピースを作製していきます。
作られるマウスピースと元の歯並びには若干のズレができるように設計されていて、マウスピースを装着することでズレの方向に圧力がかかって歯が動きます。
マウスピースは約1週間で次のステージのマウスピースに取り替えます。
1枚で約0.25mm動きます。
このように少しずつ最終的な歯並びにむかってズレがあるマウスピースを取り替えていくことで歯が動いていくのです。
一週間に0.25mm歯が動いていくのですが、従来のワイヤー矯正よりもゆっくりと動いていきますので、比較的痛みが少ない特徴があります。
マウスピース矯正のメリット
-
メリット
-
- 透明な装置で目立たない
- 取り外しができ、歯磨きが楽
- 比較的痛みが少ない
- 通院回数が従来よりも少ない
- 奥歯を奥にずらせるので抜歯をするケースを減らすことができる
- 金属アレルギーが起きない
マウスピース矯正の4つの特徴
1 目立たない矯正装置
マウスピース矯正の一番のメリットは装置が目立たないことです。
薄くほぼ透明なポリウレタン製の装置なので、装着していてもほとんど気づかれません。
マウスピース矯正は治療中の見た目が気になる方や、人と接する機会の多い方などにおすすめの矯正治療です。
2 装置を外して食事ができる
他の矯正、従来のワイヤーを使用した矯正治療などとは違い、患者さん自身で装置を取り外すことができることが大きな特徴の一つです。
マウスピース矯正は食事の時に取り外すことができるので、装置に食べ物がはさまる心配がなく、治療中も普段通りの食事をすることが可能です。
食べるものの制限がないため、毎日の食事を楽しむことができます。
3 段階に合わせて新しい装置に交換
マウスピース矯正は、治療の段階に合わせて矯正装置を新しいものに交換し装着することで少しずつ歯並びを整えていきます。
矯正装置は患者さんご自身で交換していただく必要があるので、自己管理がとても大切になります。
4 治療期間中も快適に過ごせる
マウスピース矯正は金属を使用せず段階的に歯を動かしながら歯並びを矯正するため、従来の矯正治療に比べて痛みが少なく、口唇や粘膜を傷つけてしまう心配がありません。また、治療期間中に装置が外れてしまうなど緊急性が少ないことも特徴のひとつです。
マウスピース矯正の流れ
01.治療の相談
歯並びの悩みを伺い、お口の中の診察をします。
治療のおおまかな内容や期間、費用をご説明します。
治療が必要なむし歯や歯周病がある場合は先にその治療が必要となります。
02.精密検査
口腔内検査、レントゲン検査、3Dスキャナーによる光学印象などの検査を行います。
3Dスキャナーによる光学印象は場合によっては初診時に行うこともあります。
診断と治療計画の立案、マウスピースの設計図を作製するために必須の検査です。
03.詳細な治療説明・診断
治療計画、補助装置の必要の有無、治療期間や費用などについて詳細にご説明し、ご納得いただいたうえで治療を開始します。
04.マウスピースの設計図を作製開始
患者さんのお口のデータをインビザラインに送り、マウスピースを作るためのデジタル設計図の作製を依頼します。
05.届いた設計図(治療計画)を修正してマウスピースを発注
インビザラインから届いた設計図(治療計画)に詳細な修正を加えてマウスピースを発注します。
06.マウスピースが届き治療開始
精密検査から2〜3週間後に、3Dプリンターで作製されたマウスピースが歯科医院に届きます。患者さんにマウスピースをお渡しし、毎日22時間の装着と、1週間ごとのマウスピースの交換をしていただきます。
07.1〜2ヶ月ごとに受診します
歯が治療計画通りに移動しているか、アタッチメントが外れていないか、現在使用しているマウスピースがフィットしているかなどを確認します。
歯の調整が必要な場合は、歯の調整をする場合もあります。
また1日に22時間以上しっかりと装着できているかの確認もしていきます。
慣れてきて問題ない場合や、調整の必要のない治療計画の場合は、2ヶ月や3ヶ月先になることもあります。
08.全てのマウスピースの装着終了
噛み合わせ・歯並びの最終チェックを受けます。順調に治っていれば、歯についているアタッチメントを取り除き、後戻りを防ぐ保定期間に移ります。
気になる部分がある場合や、さらに治療が必要な場合は追加のマウスピースを発注します。
09.治療終了、メインテナンスへ
後戻りを防ぐための保定用のマウスピースを使用していただきます。その後はメインテナンスで状態の確認を行いつつ、虫歯や歯周病にならないためのメインテナンスも同時に行っていきましょう。
インビザラインとは
透明に近いマウスピース型の矯正装置を装着して歯並びを綺麗にする方法です。
今までに世界で1300万人を超える患者さんがインビザラインによる治療をうけています。
(2022年6月時点)
治療開始前に歯の動きをシミュレーションして治療のゴールをイメージすることができます。
インビザラインは、患者さんのデータに基づきマウスピースの素材や歯を動かす仕組みを改良し続けています。
インビザラインジャパン株式会社は「マウスピース型矯正装置」のパイオニア企業である、アメリカのアラインテクノロジー社の日本法人です。
独自に開発した3D画像化技術と審美的要素を融合した「インビザラインシステム」および「インビザラインGoシステム」を提供しています。
インビザライン治療動画紹介
インビザラインのマウスピースの素材はポリウレタンです。
ポリウレタンの物性
- 弾性
-
- 柔軟性に優れ、高い弾性をもつ
- 耐摩耗性
-
- 非常に優れた耐摩耗性を発揮する
- 耐衝撃性
-
- 衝撃強度が強く、保護カバーなどに最適な機能を発揮
- 引っ張り強度
-
- 抗張力が強く、引き裂き強さなどが強い
- 耐油性
-
- 優れた耐油性を発揮
- 耐薬品性
-
- 耐薬品性にも優れる
- 低温特性
-
- 低温特性に優れた機能を発揮
インビザラインの革新的技術
SmartTrack素材
1 持続的なライトフォース
SmartTrackは患者さんの快適さを改善するために、最初の装着時の負荷をおさえつつ緩やかでより持続的なフォースがもたらされ、トラッキングを向上させます。
2 高い弾性
アライナーが伸縮する際、高い弾性をもつ優れたSmartTrack素材はプログラミングされた元の形状により近い状態に戻るためトラッキングが向上します。
3 より正確にフィット
熟成形性に優れたアライナー素材であり歯牙の形態、アタッチメントおよび歯間空隙により正確にフィットするように熟成形できます。
インビザラインの装着の仕方
マウスピースの装着は慣れれば簡単ですが、最初は手間取ることもあるでしょう。つける順序としては、前歯から奥歯にかけて、指でゆっくりと押していきます。慣れるまでは鏡で確認しながらゆっくりと行いましょう。強い力で無理やり押し込んだりすると、マウスピースの変形や歯の痛みを生じることがありますのでご注意を。この段階では8割方はまっていれば問題ありません。
その後、アライナーチューイというシリコンゴムでできたロールを噛み、しっかりとマウスピースをはめていきます。
アライナー装着の都度、チューイを全歯列にわたりまんべんなく噛み込むように使用します。噛むのではなく噛み込んでください。
インビザラインは、しっかりとはまっていない状態で使用すると、正確に歯が動かないことがありますので、アライナーチューイはケースに入れて常に持ち歩くようにしましょう。
インビザライン装着時の飲食
インビザラインを装着しての飲食は原則できません。マウスピースを装着して食事をすると、マウスピースの中に汚れが溜まり虫歯になるリスクが高まります。また、飲み物も制限されます。水分は水で摂ることをお勧めします。砂糖が入っている飲み物は、虫歯のリスクを高めます。砂糖の入っていない炭酸飲料もいいように思いますが、口の中を酸性にするので虫歯リスクを高めます。砂糖の入っていないお茶は虫歯リスクを高めることはありませんが、ステインが付きやすくなってしまいます。その他、コーヒーや紅茶など色の濃い飲料はマウスピースが着色してしまいますので好ましくありません。なので、できれば水がいいでしょう。
痛みがあるとき
インビザラインは1つのマウスピースで歯を動かす量が最小限であるため、ワイヤー矯正と比べると痛みが出ることが少ない治療法です。しかし、新しいマウスピースに変わって最初の2、3日間は多少痛みが出ることがあります。もし我慢できないほど痛くなったり、痛みが続いたりするようでしたら、ご連絡をください。
長時間使えないとき
インビザラインは毎日、20時間以上装着することが原則です。そうはいっても、体調が悪い、旅行に出かけるなど、生活が不規則になるときがあります。その場合、無理をして先のマウスピースに進まないようにしましょう。十分な力が歯にかからないままに先に進んでしまうとシミュレーションとの間にずれが生じる原因になります。特に、新しいマウスピースの最初の3日間は22時間以上使用する必要があります。
料金表
| 施術内容 | 料金 |
|---|---|
| インビザライン | 4万円~(マウスピース1枚当たり) |
※通常10枚前後のマウスピースを使用するのが一般的なので治療費は40万円程度で終わる方が多いです。
マウスピースの枚数無制限の場合は80万円となります。
(症例に応じてマウスピースの使用枚数が変化しますので、お気軽にご相談ください。)
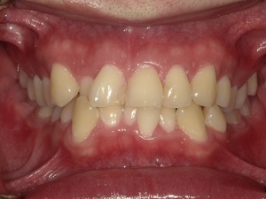
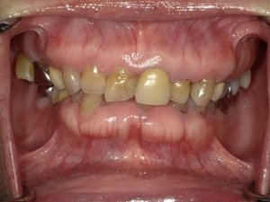
ガタガタした歯並びや八重歯(叢生)
-

ガタガタとした歯並びや八重歯(叢生)
☆before→after☆ ◯ご相談内容:下の前歯のガタガタが気になる◯矯正の種類:マウスピース矯正「インビザ...
-

ガタガタとした歯並びや八重歯(叢生)
☆before→after☆ ◯ご相談内容:下の前歯のガタガタが気になる◯矯正の種類:マウスピース矯正「インビザ...
-

ガタガタとした歯並びや八重歯(叢生)CASE75
☆before→after☆ ◯ご相談内容:下の前歯のガタガタが気になる◯矯正の種類:マウスピース矯正「インビザ...
-

ガタガタとした歯並びや八重歯(叢生)CASE74
☆before→after☆ ◯ご相談内容:下の前歯のガタガタが気になる◯矯正の種類:マウスピース矯正「インビザ...
-

ガタガタした歯並びや八重歯(叢生)CASE73
☆before→after☆◯ご相談内容:上の前歯◯矯正の種類:マウスピース矯正「インビザライン」 ◯治療期間:26...
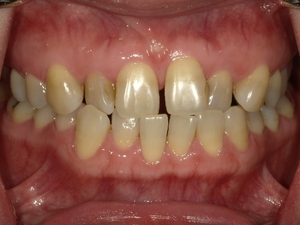
すきっ歯(空隙歯列弓)
-

すきっぱ(空隙歯列)
☆before→after☆ ◯ご相談内容:前歯の隙間が気になる◯矯正の種類:マウスピース矯正「インビザライン」 ...
-

すきっぱ(空隙歯列)
☆before→after☆ ◯ご相談内容:前歯の隙間と前歯のガタガタが気になる◯矯正の種類:マウスピース矯正「...
-

すきっぱ(空隙歯列)CASE17
☆before→after☆ ◯ご相談内容:前歯の隙間と前歯のガタガタが気になる◯矯正の種類:マウスピース矯正「...
-

すきっぱ(空隙歯列)CASE16
☆before→after☆○ご相談内容:上の歯にすきまがある○矯正の種類:マウスピース型矯正「インビザライン」○...
-

すきっぱ(空隙歯列)CASE15
☆before→after☆○ご相談内容:前歯がすきっぱ○矯正の種類:マウスピース矯正「インビザラインGO」○治療期...
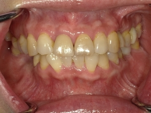
前歯が閉じない(開咬)
-

前歯が閉じない(開咬)CASE6
☆before→after☆【すきっぱ、空隙】 ◯ご相談内容:上と下の前歯の隙間が気になる ◯矯正の種類:マウス...
-

前歯が閉じない(開咬)CASE5
50代女性☆before→after☆◯ご相談内容:奥歯でしか噛めない◯矯正の種類:マウスピース型矯正「インビザラ...
-

前歯が閉じない(開咬)CASE4
20代女性☆before→after☆◯ご相談内容:前歯がでてかめていない◯矯正の種類:マウスピース型矯正「インビ...
-

前歯が閉じない(開咬)CASE3
20代女性★before→after★●ご相談内容:噛んだ時のすき間が気になる●矯正の種類:マウスピース型矯正「イ...
-

前歯が閉じない(開咬)CASE2
女性非抜歯☆BEFORE→AFTER☆〇ご相談内容:前歯で噛めない〇矯正の種類:マウスピース型矯正「インビザラ...
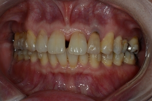
出っ歯(上顎前突)
-

出っ歯(上顎前突)CASE11
☆before→after☆ ◯ご相談内容:上の前歯が出てる◯矯正の種類:マウスピース矯正「インビザライン」 ◯治...
-

出っ歯(上顎前突)CASE11
☆before→after☆ 【出っ歯(上顎前突)】 ◯ご相談内容:前歯が出てる ◯矯正の種類:マウスピース矯正...
-

出っ歯(上顎前突)CASE10
☆before→after☆〇ご相談内容:出っ歯になっている〇矯正の種類:マウスピース型矯正「インビザライン」...
-

出っ歯(上顎前突)CASE9
☆before→after☆〇ご相談内容:前突感をなおしたい〇矯正の種類:マウスピース型矯正「クリアコレクト」...
-

出っ歯(上顎前突)CASE8
20代女性☆before→after☆〇ご相談内容:出っ歯である〇矯正の種類:マウスピース型矯正「インビザライン...
























