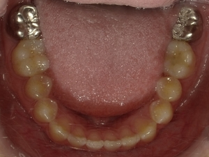
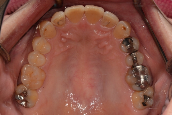
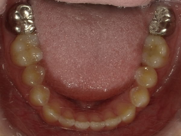
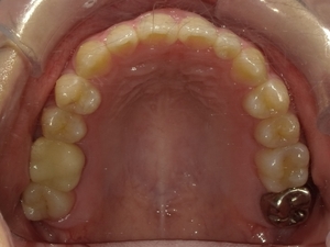
前歯が閉じない(開咬)CASE6

2025.07.05

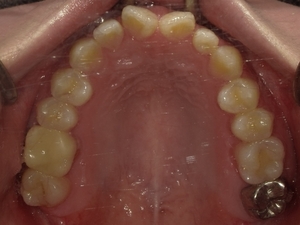
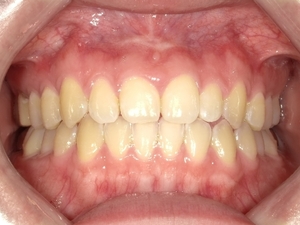
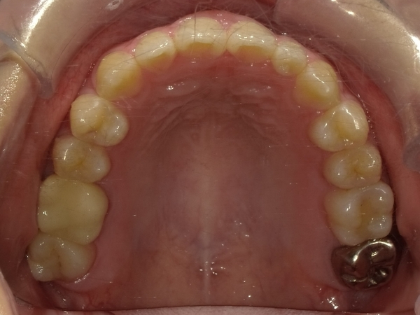
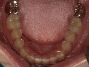
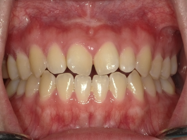
☆before→after☆



【すきっぱ、空隙】
◯ご相談内容:上と下の前歯の隙間が気になる
◯矯正の種類:マウスピース矯正「インビザライン」
◯治療期間:33週間
◯治療費用:66万円(税込)
千葉総合歯科稲毛 矯正歯科

初診の電話予約はこちら

043-445-8810

6F:043-255-8847
7F:043-445-7300
診療時間
09:00~13:00 /
14:00~18:00 /

▲:土曜、日曜は17時まで

アクセス

〒263-0043 千葉市稲毛区小仲台2-5-3 稲栄ビル1F・6F・7F [稲毛駅東口から徒歩30秒]

Calender

Calender診療カレンダー

Related links

Related links関連リンク



― Back to page top