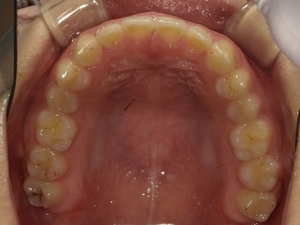
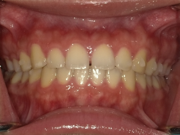
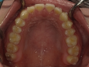
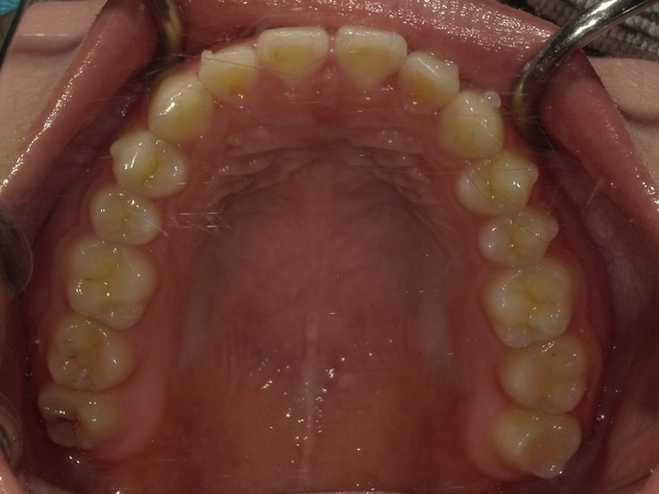
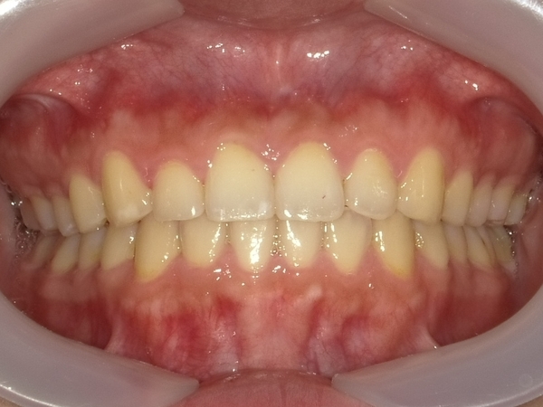
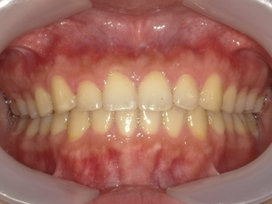
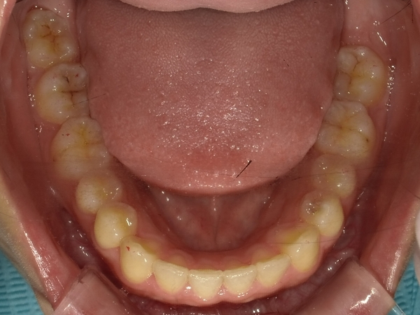
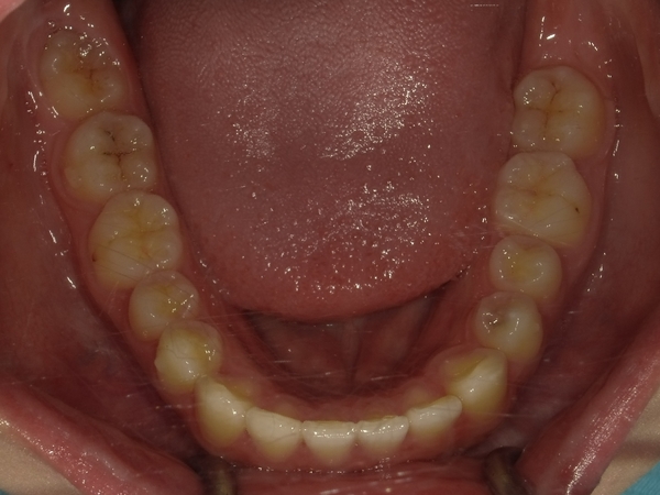
すきっぱ(空隙歯列)CASE15 2024.12.02 ☆before→after☆○ご相談内容:前歯がすきっぱ○矯正の種類:マウスピース矯正「インビザラインGO」○治療期間:14週間○治療費用:44万円(税込) < すきっぱ(空隙歯列)CASE16すきっぱ(空隙歯列)CASE14 > ブログ記事一覧をみる