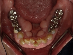
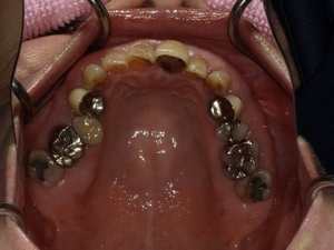
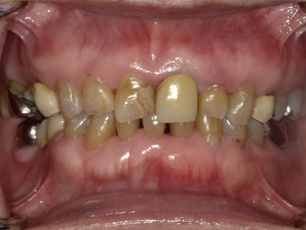
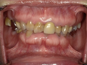
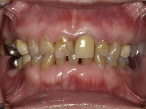
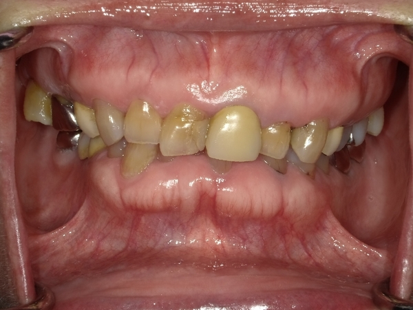
噛み合わせが深い
2025.10.18
問診票
2025.10.18
| 診療時間 | 月 | 火 | 水 | 木 | 金 | 土 | 日 | 祝 |
|---|---|---|---|---|---|---|---|---|
| 09:00~13:00 | 〇 | 〇 | 〇 | 〇 | 〇 | 〇 | 〇 | / |
| 14:00~18:00 | 〇 | 〇 | 〇 | 〇 | 〇 | ▲ | ▲ | / |
▲:土曜、日曜は17時まで
〒263-0043 千葉市稲毛区小仲台2-5-3 稲栄ビル1F・6F・7F [稲毛駅東口から徒歩30秒]
Calender
Related links