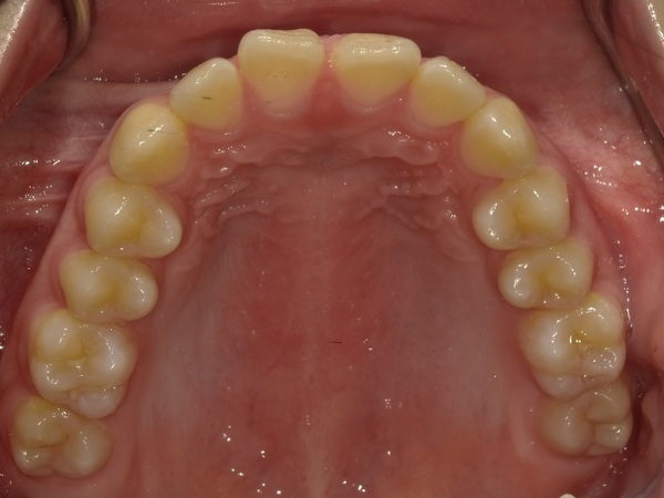
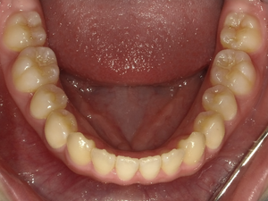
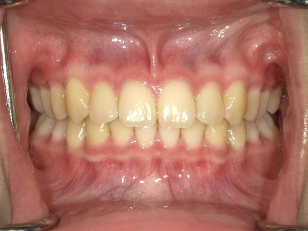
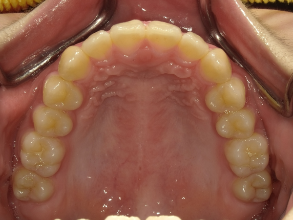
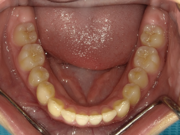
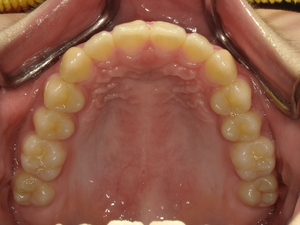
すきっぱ(空隙歯列)CASE5 2023.06.19 10代女性非抜歯〇ご相談内容:上前歯のすきっぱ〇矯正の種類:マウスピース型矯正「インビザラインGO」〇治療期間:14週間〇治療費用:44万円(税込) < すきっぱ(空隙歯列)CASE6すきっぱ(空隙歯列)CASE4 > ブログ記事一覧をみる