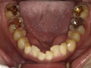
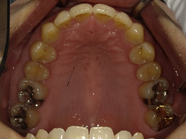
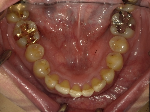
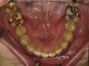
すきっぱ(空隙歯列)CASE4 2023.06.06 40代女性非抜歯BEFORE→AFTER〇ご相談内容:歯と歯の間があいている、下の歯のがたつき〇矯正の種類:マウスピース型矯正「インビザラインGO」〇治療期間:17週間〇治療費用:44万円(税込) < すきっぱ(空隙歯列)CASE5すきっ歯(空隙歯列弓)CASE3 > ブログ記事一覧をみる