オールオン4・6症例

2026.01.08

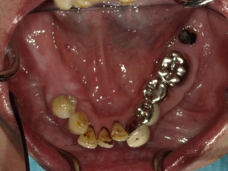
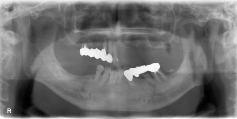
Before






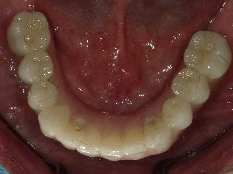
After






62歳男性/オールオン4・6症例/インプラント埋込手術


【治療内容】
インプラント希望でご来院された患者さんです。
美味く噛むことが出来ず美味しくお食事をしたいという主訴でご来院されました。
オールオン4・6というインプラント義歯での治療を選択されました。
義歯とは違い、外して洗浄する手間や、食事中にずれたりすることがないので、快適に使用されているそうです。
現在も定期検診で拝見させていただいてます。

【費用】
620万円

【治療期間】
12ヶ月

【治療におけるリスク・副作用】
インプラント治療は手術を伴います。腫れや痛みが少なくなるよう努力をしておりますが、多少の腫れや痛みが出ます。しかし、痛み止めで抑えられる程度ですのでご安心ください。

千葉総合歯科稲毛 矯正歯科

初診の電話予約はこちら

043-445-8810

6F:043-255-8847
7F:043-445-7300
診療時間
09:00~13:00 /
14:00~18:00 /

▲:土曜、日曜は17時まで

アクセス

〒263-0043 千葉市稲毛区小仲台2-5-3 稲栄ビル1F・6F・7F [稲毛駅東口から徒歩30秒]

Calender

Calender診療カレンダー

Related links

Related links関連リンク



― Back to page top