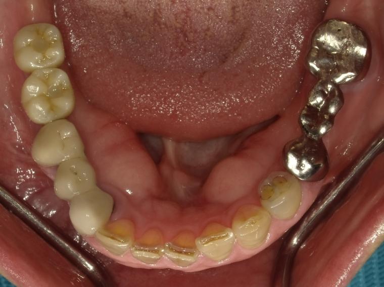
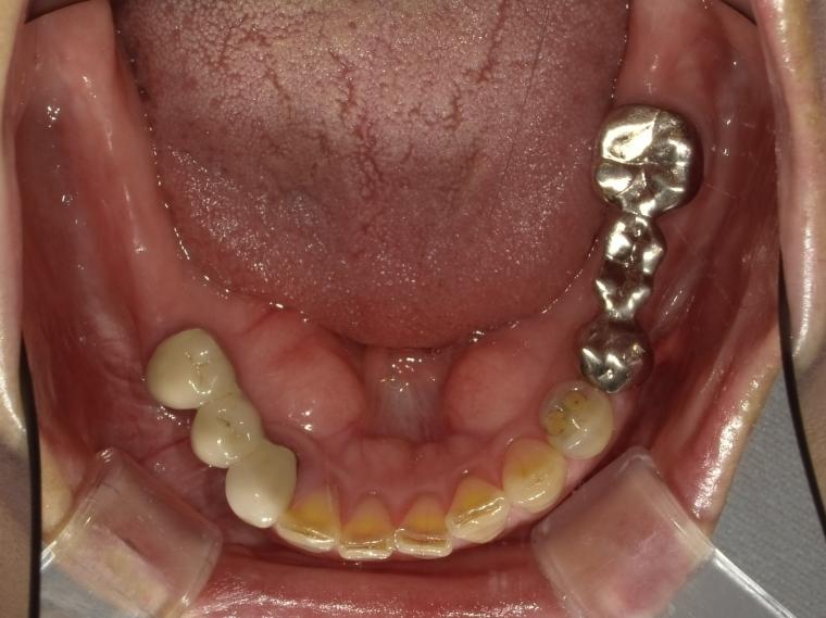
大臼歯3本欠損症例

2024.10.30

BEFORE















AFTER















74歳女性
/上下3本/インプラント埋込手術


【治療内容】

欠損補綴のご相談でご来院された患者さんです。

義歯とインプラントのメリット・デメリットやリスクなど、それぞれ考えた上でインプラント治療を選択されました。

現在も定期検診で拝見しております。

【費用】

140万円

【治療期間】

11ヶ月


【治療におけるリスク・副作用】

インプラント治療は手術を伴います。腫れや痛みが少なくなるよう努力をしておりますが、多少の腫れや痛みが出ます。しかし、痛み止めで抑えられる程度ですのでご安心ください。
千葉総合歯科稲毛 矯正歯科

初診の電話予約はこちら

043-445-8810

6F:043-255-8847
7F:043-445-7300
診療時間
09:00~13:00 /
14:00~18:00 /

▲:土曜、日曜は17時まで

アクセス

〒263-0043 千葉市稲毛区小仲台2-5-3 稲栄ビル1F・6F・7F [稲毛駅東口から徒歩30秒]

Calender

Calender診療カレンダー

Related links

Related links関連リンク



― Back to page top