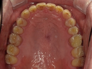
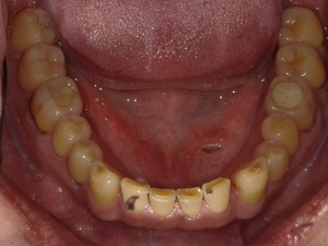
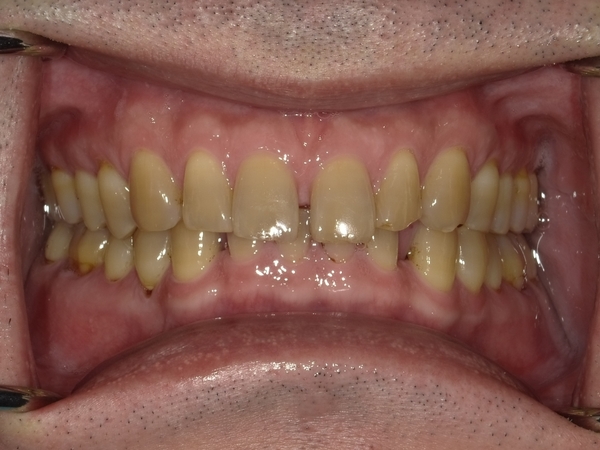
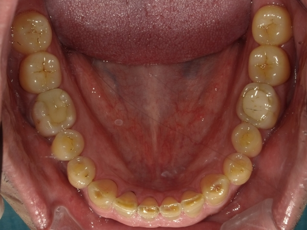
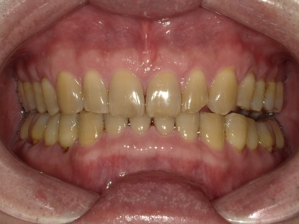
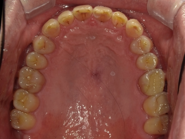
すきっぱ(空隙歯列)CASE9 2023.12.20 ☆before→after☆◯ご相談内容:真ん中の歯の隙間◯矯正の種類:マウスピース型矯正「インビザラインGO」◯治療期間:27週間◯治療費用:44万円(税込) < すきっぱ(空隙歯列)CASE10すきっぱ(空隙歯列)CASE8 > ブログ記事一覧をみる