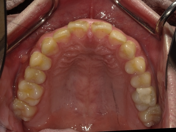
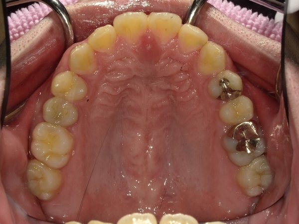
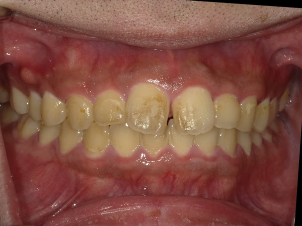
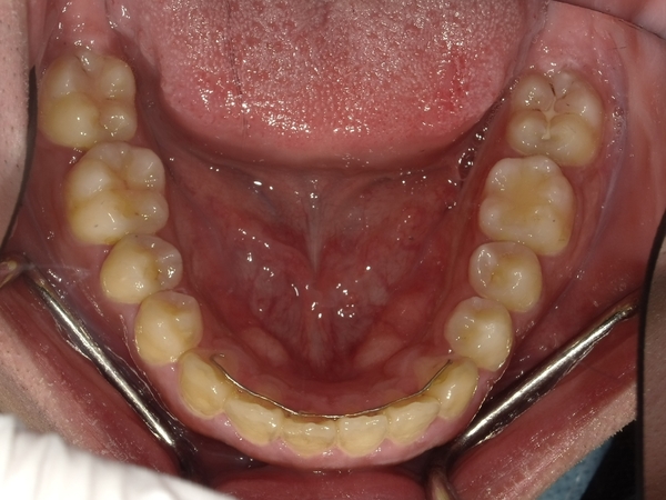
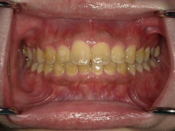
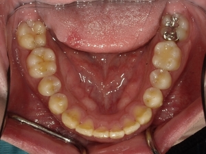
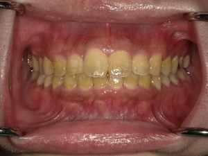
すきっぱ(空隙歯列)CASE7 2023.08.28 20代男性☆Before→After☆〇ご相談内容:前歯真ん中の隙間があいている〇矯正の種類:マウスピース型矯正「インビザラインGO」〇治療期間:19週間〇治療費用:44万円(税込) < すきっぱ(空隙歯列)CASE8すきっぱ(空隙歯列)CASE6 > ブログ記事一覧をみる