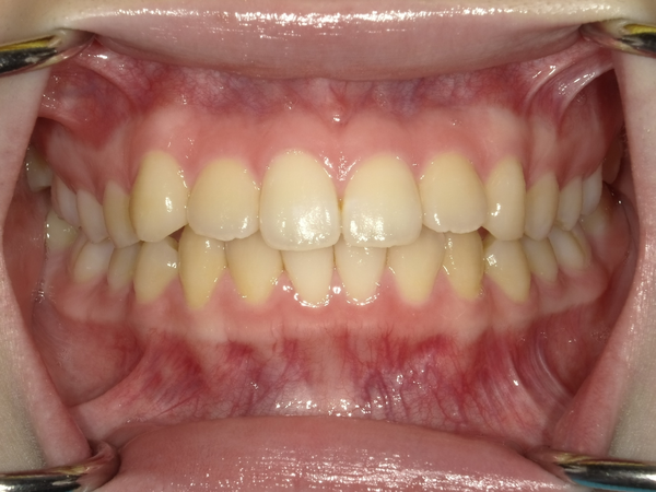
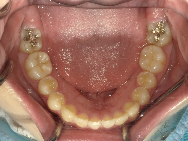
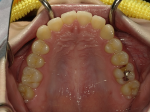
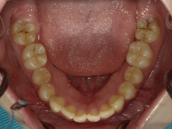
出っ歯(上顎前突)CASE2

2023.07.10

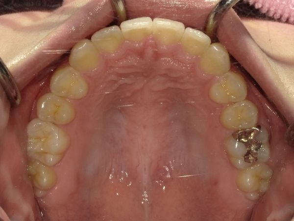
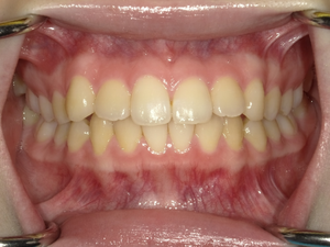
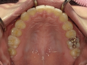
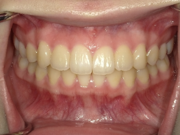
10代女性非抜歯

BEFORE→AFTER





○ご相談内容:上の歯の前突感が気になる
○矯正の種類:マウスピース型矯正「インビザライン」
○治療期間:14週間(約3ヶ月前後)
○治療費用:44万円(税込)
 

上の歯の前突感を軽減させ、同時に下の歯の傾いた歯も綺麗に並べました。
千葉総合歯科稲毛 矯正歯科

初診の電話予約はこちら

043-445-8810

6F:043-255-8847
7F:043-445-7300
診療時間
09:00~13:00 /
14:00~18:00 /

▲:土曜、日曜は17時まで

アクセス

〒263-0043 千葉市稲毛区小仲台2-5-3 稲栄ビル1F・6F・7F [稲毛駅東口から徒歩30秒]

Calender

Calender診療カレンダー

Related links

Related links関連リンク



― Back to page top