すきっ歯(空隙歯列弓)CASE1

2022.10.03

CASE01 20代・女性の方・非抜歯

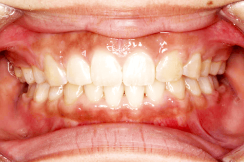
【BEFORE 正面】



【AFTER 正面】


ご相談内容:すきっ歯なので話がしづらい
(空隙歯列/くうげきしれつ)

矯正の種類:マウスピース型矯正『クリアコレクト』

矯正費用:88万円(税込)

矯正期間:40週

矯正治療を行う上での注意点・副作用
上唇小帯が原因で、歯が戻りやすい症例。そのため矯正治療後は、リテーナーの装着をして保定を長期間設けることできれいな歯並びを維持しています。


千葉総合歯科稲毛 矯正歯科

初診の電話予約はこちら

043-445-8810

6F:043-255-8847
7F:043-445-7300
診療時間
09:00~13:00 /
14:00~18:00 /

▲:土曜、日曜は17時まで

アクセス

〒263-0043 千葉市稲毛区小仲台2-5-3 稲栄ビル1F・6F・7F [稲毛駅東口から徒歩30秒]

Calender

Calender診療カレンダー

Related links

Related links関連リンク



― Back to page top