
まわりの歯に負担をかけずにしっかりと噛めるのが「インプラント治療」です
失ってしまった歯の機能を補う治療法はおもに3種類あります。それは残っている歯にバネなどをかけて固定する「入れ歯治療」、となりの歯を削って支台にして連結した人工歯を装着する「ブリッジ治療」、そして近年多くの方に選ばれている「インプラント治療」です。
インプラント治療には外科手術が必要ですが、まわりの歯に負担をかけることなく、まるで自分の歯のような噛み心地と自然な美しさをよみがえらせてくれる優れた治療法です。
こちらでは、千葉市稲毛区小仲台「JR稲毛駅」東口より徒歩30秒の歯医者「千葉総合歯科稲毛 矯正歯科」が、インプラント治療についてお伝えします。
専門医による確かな治療をご提供します
インプラント治療では人工歯根(インプラント)を顎の骨に埋め込む外科手術を行います。そのため特殊な設備と専門的な知識、そして確かな技術が必要です。当院ではインプラント治療は専門医が行っています。それが鈴木祐輔医師です。
鈴木先生はアメリカのロマリンダ大学に3年間留学し、インプラント学講座を受講。同大学のインプラント学講座臨床准教授として働いた経験があります。また日本口腔インプラント学会専門医、アメリカインプラント学会(AAID)専門医を取得しており、知識・経験ともに豊富で、世界基準のインプラント治療をご提供しています。
インプラント専門医 鈴木 祐輔
Biography学歴
- 東京歯科大学卒
- 東京歯科大学大学院研究科にて歯学博士取得
- エアランゲン-ニュールンベルグ フリードリッヒ-アレクサンダー大学 顎顔面口腔外科講座(エアランゲン、ドイツ)
- 2008年~2011年6月 ロマリンダ大学 インプラント学講座(ロマリンダ、アメリカ)
- 2011年7月~ 米国ロマリンダ大学インプラント学講座臨床准教授
- 千葉総合歯科稲毛 矯正歯科勤務
- 稲毛インプラントセンター所長
Society学会・その他
- 米国ロマリンダ大学インプラント学講座臨床准教授
- 日本口腔インプラント学会専門医
- 国際口腔インプラント学会認定医・指導医
- AAID アメリカインプラント学会専門医(American Academy of Implant Dentistry Associate Fellow)
- ITI国際インプラント・再生医学会公認インプラントスペシャリスト(ITI Section Japan Certified Specialist for Implantology)
- AOアメリカンオッセオインテグレーション学会会員(American Academy of Osseointegration)
- 歯科医師臨床研修指導歯科医
- ITIメンバー
- 日本臨床歯周病学会会員
- 日本歯科審美学会会員
- 日本インプラント臨床研究会会員
- 日本アライナー矯正歯科研究会会員
- アンキロスインプラント認定
- ITIインプラント認定
- ノーベルバイオケアインプラント認定
- POIインプラント認定
- 社団法人日本口腔インプラント学会認定講習会(100時間コース) 修了
痛みや恐怖を感じさせない麻酔医による「静脈内鎮静法」
不安を感じる方にもリラックスして手術を受けていただくために当院では「静脈内鎮静法」を採用しています。
これは麻酔の一種です。点滴のように鎮静剤を投与すると不安感、恐怖感を抱くことなく穏やかな精神状態になります。
お口まわりは局所麻酔を施しますので、痛みもありません。
こういう方におすすめです
- 歯科治療が本当に嫌いな方や、歯科治療中に具合の悪くなる方
- お口の中の手術を受ける方(インプラント・親知らずの抜歯・歯周病の手術など)
- 短期間でも早く治療を終わらせたい方
- お口の中に物が入ると「オエッ」となる嘔吐反射の強い方...など
静脈内鎮静法のメリット
- ストレスを感じにくく手術に臨める
静脈内鎮静法を使用することでうたた寝に近い状態で手術に臨めるため、恐怖心が強く、パニックを起こしやすい方もストレスを感じにくくなります。 -
手術中の記憶が残りにくい
静脈内鎮静法は健忘効果があります。そのため、手術中の記憶がほとんど残らないこともあります。また、時間を把握する感覚も鈍くなるため、気が付くと手術が終わっていたと感じる患者様もいらっしゃいます。 -
手術の安全性が高まる
静脈内鎮静法を行う際は血圧や心電図、酸素飽和度などの数値を常に確認しているため容体の変化にすぐ気づけます。また、点滴によって静脈ルートを確保しているため必要な処置を迅速に行うことが可能です。
静脈内鎮静法のデメリット
- 麻酔からの回復に時間がかかる
静脈内鎮静法によって薄くなった意識は、回復するまでに時間が必要です。しかしながら、入院の必要はなく、手術は日帰りで受けることができます。 -
追加での費用負担がある
静脈内鎮静法は、局所麻酔のみでインプラント手術を行う場合と比較して、費用負担が大きくなります。専門の麻酔科医による立ち会いや、全身の状態を管理する機材など、多くの準備を要するためです。 - 多少なりともリスクを伴う
静脈内鎮静法は全身麻酔とは異なるものの、呼吸状態や血圧に影響を及ぼす可能性が全くないわけではありません。 ただし前述したように、静脈内鎮静法では静脈ルートを確保しているため、急変の際には素早く対処することができます。
静脈内鎮静法の流れ
最初に静脈から点滴をします
まず静脈から点滴をします。場所は主に腕ですが、患者さんによっては手の甲など他の部分にすることもあります。
点滴をする際の静脈注射に対する痛みを完全になくすことはできませんが、使用している注射針がとても細いので、「注射が怖い」という患者さんでさえ、痛みを感じないということがほとんどです。
必要に応じて局所麻酔を行います
患者さんが完全に痛みなどを感じなくなったことを確認したら、必要に応じて局所麻酔を行います。
治療がスタートした後も、患者さんの心拍や血圧などのデータをリアルタイムでチェックしながら、万一の場合に備えます。
万が一患者さんの状態が急変しても、対応できる準備を万全にします。
点滴がにいっていることを確認できたら、精神安定剤を注入
点滴がスムーズにいっていることを確認できたら、精神安定剤を注入します。
薬品の量は患者さんの様子を見ながら調節していきます。
その際、患者さんの治療への恐怖の度合いによって、完全に眠った状態にするか、軽く受け答えのできる状態にします。
当院のインプラント治療が優れている理由
当院では患者さんに安心・安全なインプラント治療をご提供するために衛生的な環境を整え、高度な設備機器を導入しています。
歯科用CTでの精密な検査およびシミュレーション
インプラント治療を成功させるうえで重要なのは、精密な治療計画です。そのためには顎の骨の状態を精密に把握する必要があります。そこで活躍するのが歯科用CTです。これまでのレントゲン検査とはくらべものにならないほどの詳細な情報を立体画像で確認することができます。
顎の骨の骨密度や厚み、さらに神経や血管の位置まで把握できるので、どの位置にどの角度でどれくらいの深さにどの種類のインプラントを埋入すればいいのかの綿密なシミュレーションが可能です。
専用の手術室での施術
インプラントを埋め込むための外科手術は専用の手術室で行います。通常の診療室とは別の隔離された「オペ室」は、さらに衛生管理を徹底し、院内感染のリスクをできるかぎり低く抑えています。
ゆったりとした空間ですので、リラックスしてインプラント治療をお受けいただけます。
世界的有名なインプラントメーカーの使用
当院が使用しているインプラントは、スイスのベルン大学とストローマン研究所との協力で開発、1974年に臨床応用された、歴史ある信頼性の高いインプラントです。中でもストローマン社が開発したインプラントの表面性状をSLAといいますが、それをさらに改良し親水性を高めた製品がSLActive
Roxolidといいます。
SLActive RoxolidはSLAより親水性を高めただけなのですが、手術後の血液をより引きつけ離さないので骨とのくっつき(インテグレーション)までの期間が早くなります。
骨が少ない方も当院ならインプラント治療が可能です
自分の血液で骨を再生させる「CGF」
-
01

-
02

-
03

CGFとは、患者さんの血液を遠心分離機にかけることでできる骨再生誘導物質(フィブリンゲル)を使った治療法です。従来のPRP再生療法とは違い、添加物(抗凝固剤や凝固促進剤など)を一切含まないため、感染リスクが低く安全性も高くなりました。
【当院では厚生労働省より認可を受け「再生医療等安全性確保法」に基づいた治療を行っています】
再生医療等安全性確保法とは以下の内容です。
- リスクに応じた再生医療の提供計画を厚生労働大臣に提出することが義務化されます
- 医療機関が自院で治療用の細胞加工物を製造する場合は、厚生労働大臣への届出が必要になります
- 医療機関に限られていた治療用の細胞加工について、厚生労働大臣から許可を受けた企業等への外部委託が可能となります
- 届出を行わずに治療や細胞加工を行った場合、本法律により罰則が科されます
当院ではこれらの内容をすべてクリアし治療を行っております。ご安心ください。
骨を移植する「ボーングラフト」
ボーングラフト(骨移植)とは、骨が吸収されて薄くなっている部分に、骨のブロックを移植し、細かく砕いた患者さん自身の骨または骨補填材を詰めて、骨の再生を促す治療法です。自家骨移植が最も再生率が高いと言われております。
インプラント治療のトラブルについて
最近患者さんより、他院でのインプラント治療の相談をよく頂きます。
インプラント治療を担当する副院長はアメリカの大学に留学した際、インプラント学講座臨床准教授を務めたり、インプラント学会の専門医を取得しています。
他院での再治療や治療の中止など、お一人で悩まずに、まずはお気軽にご相談ください。出来るだけみなさんのお力になれるよう精一杯取り組みます。
料金表
| 施術 | 内容 | 料金 |
|---|---|---|
| インプラント埋入手術 | ストローマンSLActiveインプラントを使用します。 | 250,000円(税込275,000円) |
| アバットメント | チタン製の土台 | 50,000円(税込55,000円) |
| ジルコニア製の土台 | 70,000円(税込77,000円) | |
| 上部構造 | ジルコニアクラウン | 120,000円(税込132,000円) |
| メタルセラミッククラウン | 120,000円(税込132,000円) | |
| ジルコニアセラミッククラウン | 170,000円(税込187,000円) |
※スライドさせると、表全体をご覧いただけます。
| 施術 | 内容 | 料金 |
|---|---|---|
| 静脈内鎮静法 | 麻酔薬を点滴によって腕の静脈に投与する麻酔方法です。ほとんど眠った状態でオペを受ける事ができます。 | 1手術 90,000円(税込99,000円) |
| CGF(血小板濃縮フィブリンゲル) |
患者様ご自身から採取した血液を遠心分離して、血小板を濃縮したものです。 リスク副作用:肝機能障害などがある患者さんではCGFの作用を十分に発揮できない可能性があります。 |
90,000円(税込99,000円) 静脈内鎮静法を併用する場合は無料 |
| AFG(血小板濃縮フィブリン液) |
手術後の創部の侵襲の軽減、および治癒の促進、骨再生の足場の構築を目的として使用します。 リスク副作用:肝機能障害などがある患者さんではAGFの作用を十分に発揮できない可能性があります。 |
90,000円(税込99,000円) 静脈内鎮静法を併用する場合は無料 |
| ソケットプリザベーション | 骨の吸収を防止するために、抜歯の時点で人工骨などを「穴」に入れて骨を再生させる方法です。 | 60,000円(税込66,000円)~ |
| リッジオーギュメンテーション | 結合組織をやせた歯肉部分に入れて歯肉を盛り上げる方法です。 | 60,000円(税込66,000円)~ |
| サイナスグラフト | 骨の高さを造ることにより、インプラントを埋め込むことができます。 | 200,000円(税込220,000円)~ |
| サイナスリフト | 上顎洞を挙上して自家骨、人工骨を入れ骨を補います。 | 60,000円(税込66,000円)~ |
※スライドさせると、表全体をご覧いただけます。
インプラント治療におけるリスクについて
一般的に、細菌による感染や多量の出血、歯肉弁やインプラント周囲組織の壊死などがリスクとして挙げられます。
術後には多少の腫れと内出血によるあざ等が生じる場合があります。
治療にはリスクもありますが、当院ではインプラント治療に必要な設備を充分に設け、専門的な知識を有した副院長が治療を担当します。
また、当院では専用の手術室を設け感染リスクを可能な限り軽減し、万が一の事態に備え「生体モニター」や「自動体外式除細動器」を導入しています。
前歯審美症例
-

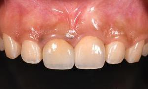
上顎前歯1本欠損症例
BEFOREAFTER69歳男性/上1本/インプラント埋込手術 【治療内容】 右上前歯の歯根が破折し、抜歯と...
-

上顎前歯2本欠損症例
BEFOREAFTER34歳女性/上顎2本/インプラント埋込手術 【治療内容】 上顎前歯は被せ物入っていました...
-

上顎前歯2本欠損症例
BEFOREAFTER52歳女性/上2本欠損/インプラント埋込手術 【治療内容】 上顎前歯のグラつきが主訴で...
-

上顎前歯1本欠損症例
BEFOREAFTER66歳男性/上顎1本欠損/インプラント埋込手術 【治療内容】 右上の前歯は元々ブリッチ...
-

上顎前歯1本欠損症例
BEFOREAFTER72歳男性/上顎1本欠損/インプラント埋込手術 【治療内容】 上顎前歯の被せものが取れて...
奥歯欠損症例
-

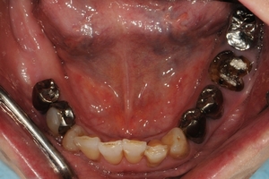
下顎臼歯2本欠損症例
BEFOREAFTER68歳女性/下2本欠損/インプラント埋込手術 【治療内容】 左下に入っているブリッジか...
-

上下5本欠損症例
BEFOREAFTER62歳女性/上下5本欠損/インプラント埋込手術 【治療内容】 欠損歯が多いため、お食事が...
-

大臼歯2本欠損症例
BEFOREAFTER43歳女性/上下2本欠損/インプラント埋込手術 【治療内容】 右上第二大臼歯の被せ物が外...
-

下顎小臼歯1本欠損症例
BEFOREAFTER52歳女性/上1本欠損/インプラント埋込手術 【治療内容】 右上第二小臼歯には被せ物が入...
-

下顎大臼歯1本欠損症例
BEFOREAFTER53歳女性/下1本欠損/インプラント埋込手術 【治療内容】 歯根の先で炎症が広がり、抜歯...



















